Técnica de Vaporización Prostática (HoLAP)
(Holmium Laser Ablation of the Prostate / Ablación Prostática con el Láser Holmium)
- Introducción
La primera aproximación de prostatectomía transuretral con láser, fue realizada con el láser de Nd:YAG (neodimio itrio-aluminio-granate), el cual causa daños térmicos en el tejido obstructivo de la Hiperplasia Benigna de Próstata (HBP) debido principalmente a un mecanismo de coagulación.
El láser de KTP (Potasio-Titanio-Fósforo) proporciona efectos en el tejido y resultados muy similares. Ambos procedimientos son muy seguros, con poca o ninguna complicación, y mínima morbilidad postoperativa, comparada con la resección transuretral prostática (TURP). Sin embargo, estos láseres realizan una destrucción térmica de muchos milímetros del tejido prostático, debido principalmente a la profunda distancia de penetración de sus longitudes de onda (Fig. 1). Conllevan por tanto, a períodos más largos de cateterización postoperatoria y a que los síntomas de mejoría tarden semanas en aparecer.
El láser de Ho:YAG, cuyo medio activo, sólido, es un cristal compuesto de los elementos Ytrio-Aluminio- Granate, contaminado con Holmium, es significativamente absorbido por el agua, por lo que causa una vaporización rápida del tejido blando expuesto.
La mayoría de la energía del holmium es absorbida superficialmente, conllevando a un corte o ablación superficial. Tiene la capacidad de cortar o vaporizar con mucha precisión, produciendo también un efecto de coagulación. La zona de coagulación térmica está comprendida entre 0.5 y 1.0 mm, la cual es suficiente para asegurar una hemostasia adecuada.
Este efecto es muy importante ya que permite vaporizar o reseccionar el tejido prostático, sellando a su vez el tejido afectado, y en consecuencia previniendo el sangrado y la absorción del fluido de irrigación.

El láser de KTP posee una distancia de penetración cuatro veces mayor que la del Holmium. Ambos láseres ablacionan aproximadamente uno o dos gramos de tejido por minuto. Sin embargo, el Holmium ablaciona, sin generar las complicaciones asociadas con la necrosis de tejido, que aparece normalmente con el láser de KTP.
- Técnica de HoLAP
HoLAP es la técnica de Ablación Prostática realizada con el Láser Holmium VersaPulse® PowerSuiteTM de 80 a 100 W (Lumenis). Este procedimiento se realiza con una fibra de disparo lateral DuoTome SideLiteTM (Fig. 2) en un modo de casi contacto, siendo aconsejable para próstatas menores de 50 g.
| Esquema de la fibra láser de disparo lateral Duo Tome SideLite (TM) | ||
![]() |
||
| * La fibra dispara con 70º de angulación | ||
| * Pieza de mano, que permite rotar y colocar la fibra con precisión | ||
| * Máximo diámetro externo de 7,2 F | ||
| * Marcas en el extremo de la fibra, que facilitan su correcto posicionamiento | ||
| * A: Línea negra discontínua a 90º de la ventana de salida | ||
| * B: Vista frontal de la ventana de salida | ||
| * C: Línea negra contínua a 180º de la ventana de salida | ||
| * Línea circular: Distancia de seguridad para la retracción de la fibra. Previene una vibración excesiva y previene el daño de la lente y del elemento de trabajo |
![]() |
![]() |
| Fig.2 | |
El ajuste del láser suele ser de 2.0 J a 50 Hz, o de 3.2 J a 25 Hz. Un alto valor de la energía combinado con un valor de la frecuencia más bajo, tiende a vaporizar el tejido con mayor eficacia y a reducir la cantidad de desechos que permanecen en el campo endoscópico. Las pequeñas zonas de hemorragia pueden ser controladas disminuyendo la energía del láser y separando la punta de la fibra a 2-3 mm. de distancia.
La gran ventaja de este procedimiento es la facilidad de la técnica, en la cual, la punta de la fibra se rota sobre la superficie prostática. El lóbulo medio se ablaciona inicialmente, empezando en el cuello vesical y procediendo a lo largo de la superficie del lóbulo, siendo el verumontanum el límite distal. Este proceso se realiza hasta alcanzar la cápsula quirúrgica, la cual se identifica por la aparición de fibras transversales y circunferenciales. De la misma forma se procede a la hora de vaporizar los lóbulos laterales.
Es importante rotar la fibra siempre sobre el área a tratar y no “enterrarla” dentro del tejido (Fig. 3). El enterrar la fibra en el tejido implica, en primer lugar, que la ablación no tenga tanto efecto, debido a que las burbujas de vapor de agua rebotan, y en segundo lugar, se incrementaría la degradación de la propia fibra, ya que no habría fluido suficiente para su correcta refrigeración.
Existen cirujanos que antes de empezar con la vaporización realizan una incisión en el cuello vesical (Fig. 4), siempre con cuidado de no enterrar la punta de la fibra en el tejido. En caso de que la próstata tenga un lóbulo medio bien definido, se pueden realizar dos incisiones a las 5 y 7 horarias.
| Aproximación del extremo de la fibra al tejido prostático | |
![]() |
![]() |
| Fig.3 | |
| Posicionamiento de la fibra | |
| * Cerca pero no en contacto con el tejido | |
| * Maximiza el efecto ablativo de la fibra | |
| * Prolonga potencialmente la vida de la fibra | |
| Rotación de la fibra | |
| * Ha de hacerse despacio. La tendencia es la de rotar la fibra demasiado rápido | |
| * Crítico a la hora de conseguir la máxima ablación | |
| * Permite suavizar el efecto en tejido (menos » tiras o pelusas» de adenoma) | |
| * Disminuye potencialmente el sangrado | |
| Incisión del cuello vesical | |
![]() |
![]() |
| Fig.4 | |
| La incisión en el cuello vesical proporciona las siguientes ventajas: | |
| * Mejora la irrigación a través de la próstata | |
| * proporciona mejor visualización | |
| * Permite la identificación de las fibras del cuello vesical y de la cápsula prostática | |
Una de las principales preocupaciones acerca de estas técnicas mínimamente invasivas, es si la tasa de éxito mostrado a un máximo de 1-2 años, lo es también a largo plazo. Gilling et al. presentó un estudio (1), donde se abordaba la durabilidad de HoLAP a lo largo de un período de seguimiento superior a los 7 años, en el cual confirmó que HoLAP era una técnica sencilla de realizar y demostró su durabilidad durante más de siete años.
HoLAP es un procedimiento simple y fácil de aprender. Permite a los cirujanos utilizar una técnica que proporciona un alivio inmediato de los síntomas, sin la necesidad de someterse a una curva de aprendizaje extensa. Proporciona un beneficio duradero en el alivio de los síntomas del tracto urinario inferior, manteniendo una buena tasa de flujo urinario.
Es un procedimiento que puede ser llevado a cabo de forma ambulatoria, con pocas o ninguna complicaciones y con resultados quirúrgicos similares a los obtenido por medio de TURP, pero con menor hemorragia asociada, tanto perioperativa como postoperativa.
(1) 2003 Tan A, Gilling P, et al. Long-Term Results of High Power Holmium Laser Vaporization (Ablation) of the Prostate. BJU International, 92(7):707-709
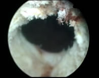
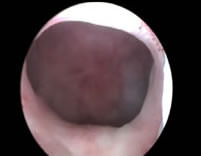
| Resultado de HoLAP | |
![]() |
![]() |
| Inmediatamente después de la intervención | Tres meses tras la intervención |








